Skip to content

Teeth Whitening

Elite Dental Group - 129 High St Taunton, MA 02780
Request Consultation Call (508) 822 9387
A radiant, whiter smile is one of the most impactful features you can have, enhancing your overall appearance and giving you a noticeable boost in confidence.
About Teeth Whitening

Teeth whitening is one of the easiest and most effective ways to remove stains and restore the natural brilliance of your smile. Discoloration can develop from everyday habits such as drinking coffee, tea, or red wine, smoking, or simply as part of the natural aging process. Professional teeth whitening can significantly enhance the brightness and overall appearance of your teeth.

At Elite Dental Group, advanced whitening solutions are designed to deliver fast, noticeable results. Unlike over-the-counter products, professional treatments are safe, reliable, and customized to your specific needs to ensure optimal outcomes.

Our whitening process is quick, non-invasive, and convenient. Using high-quality whitening agents and modern techniques that are gentle on enamel, we help you achieve a refreshed, vibrant smile with minimal sensitivity and maximum comfort.


____________________________________________________________
 

"The most Caring and professional Dentists. Amazingly skilled!! Beautiful office. Always friendly. So much goes into patient care."

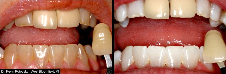
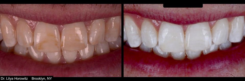
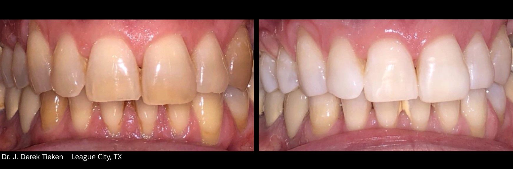
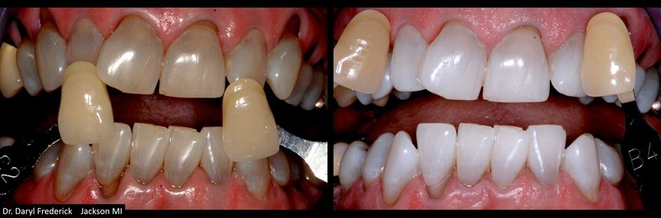
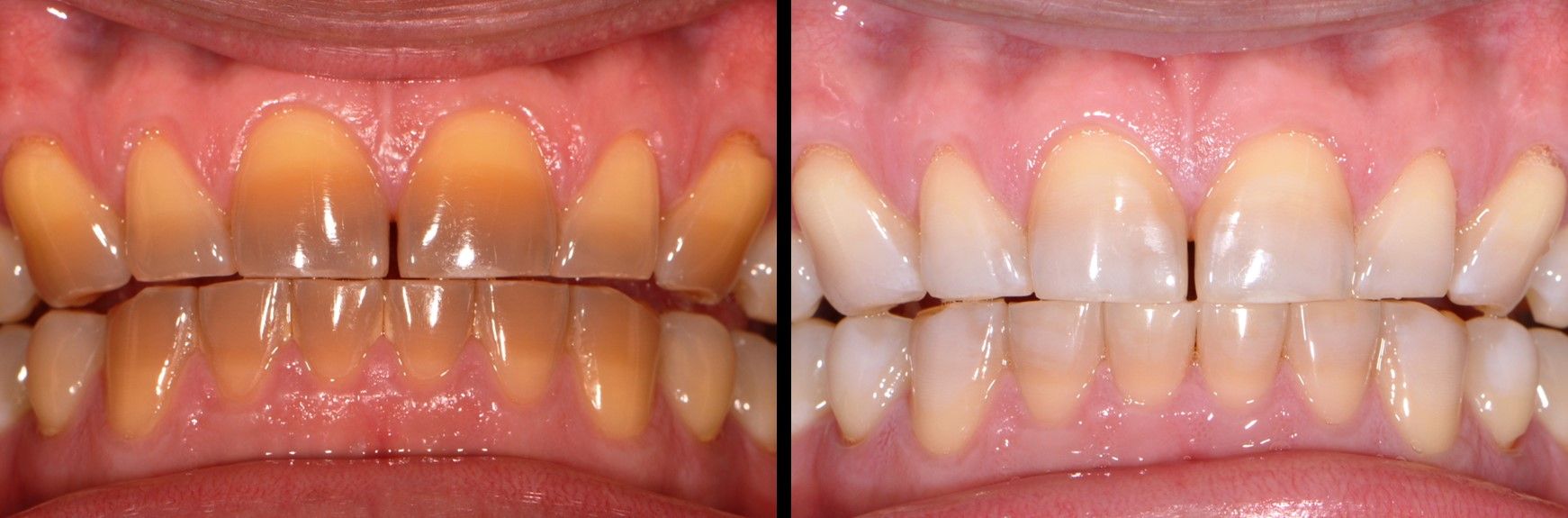
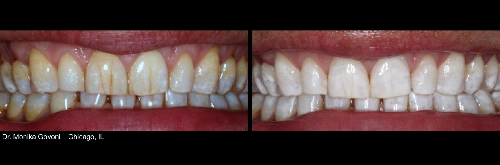
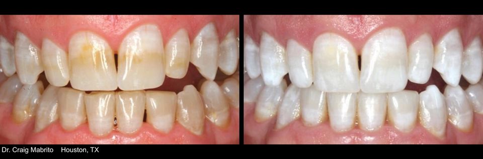
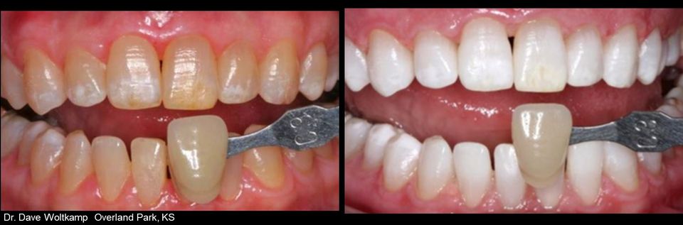
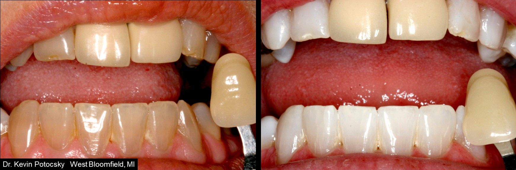
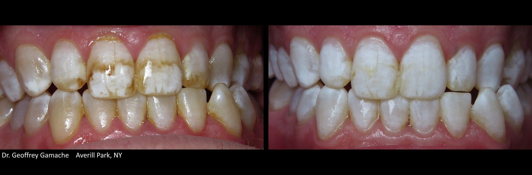
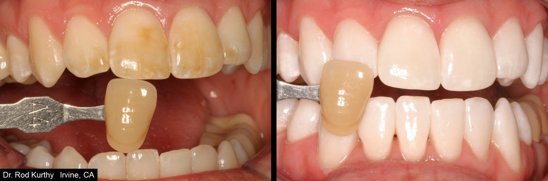
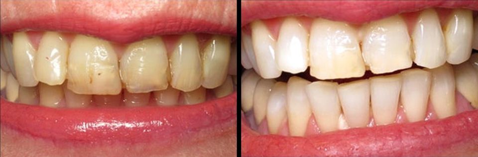
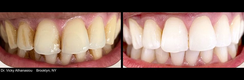
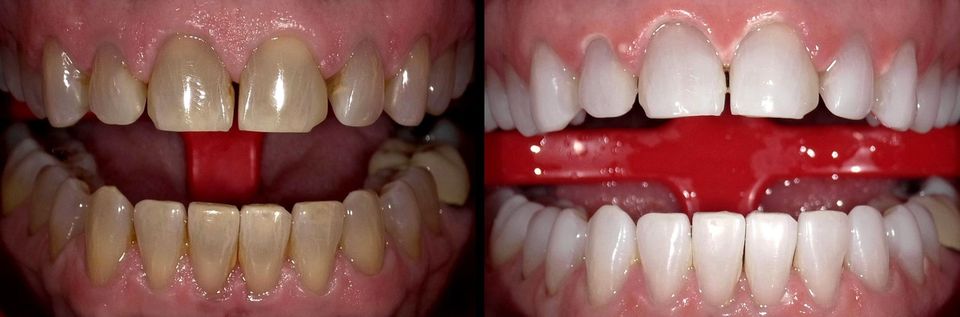
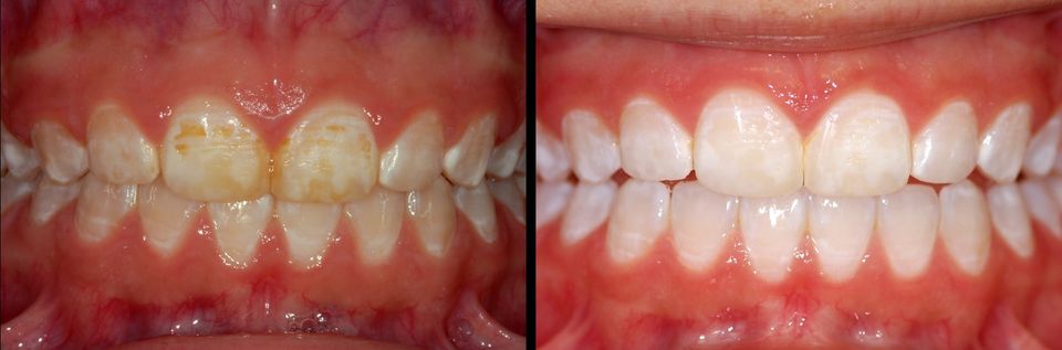
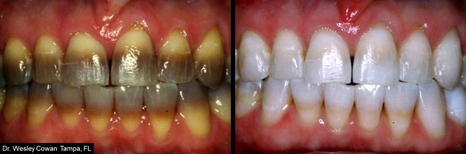
Tetracycline Stain KöR® Cases by Real Dentists Throughout the USA & Around the World

1
13

12

9

8

5

4

15

11

14

10

7

6

3

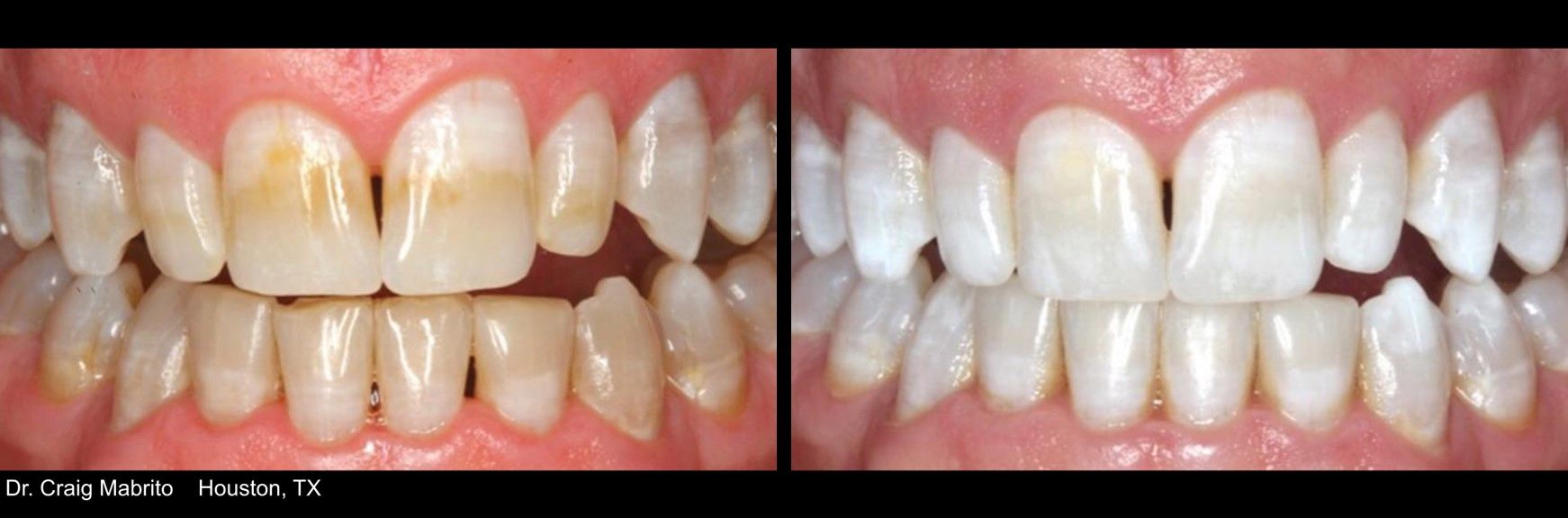
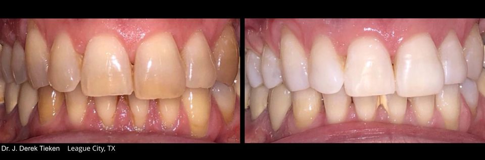
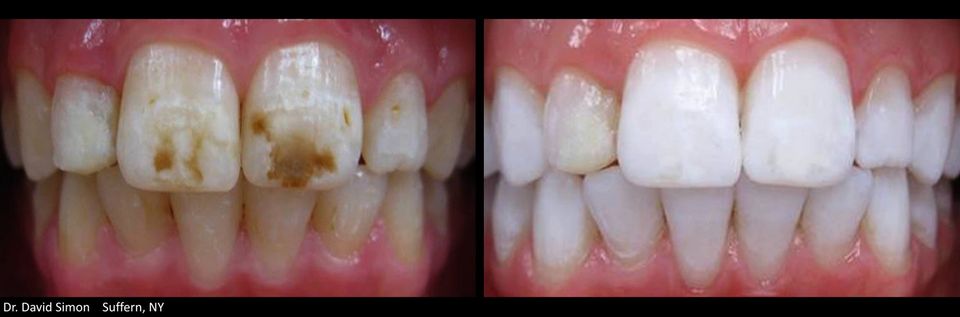
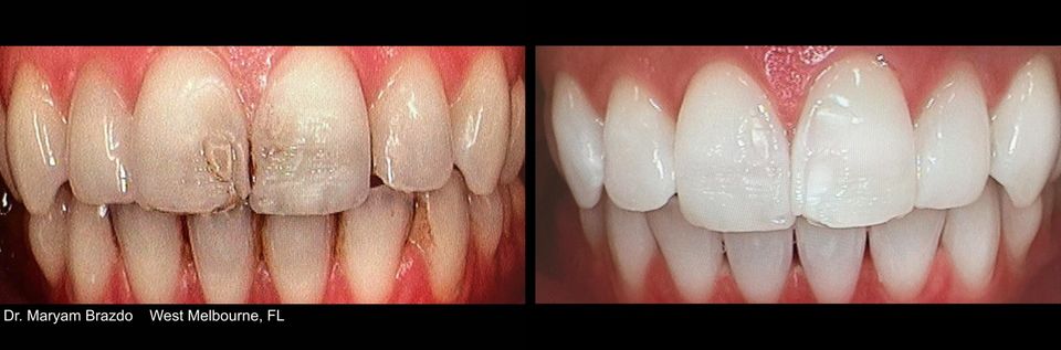
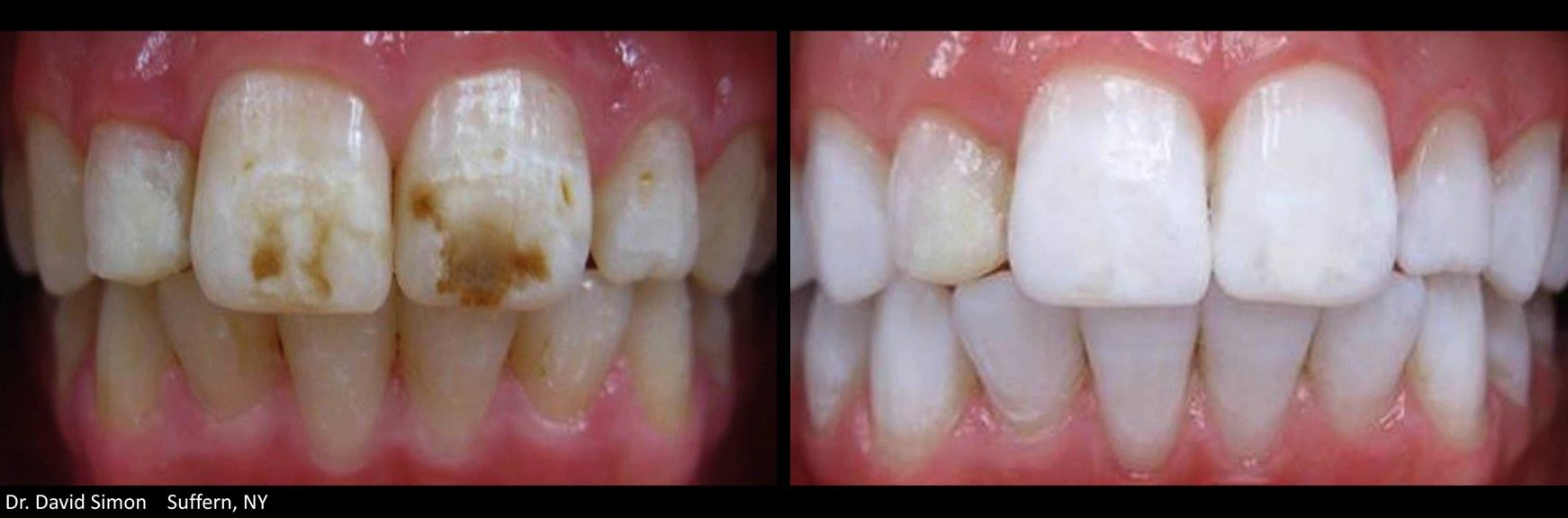
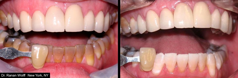
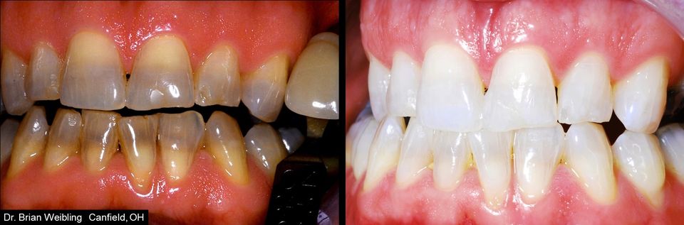
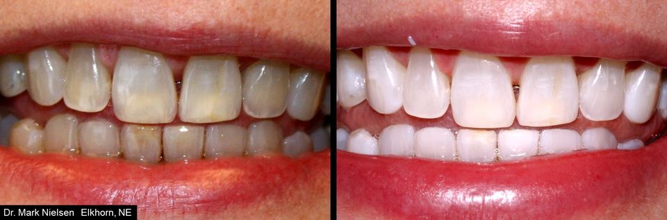
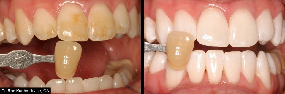
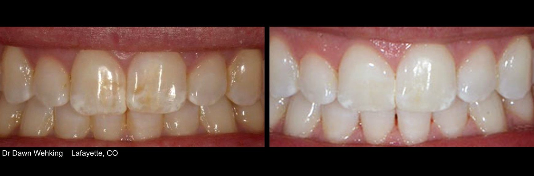
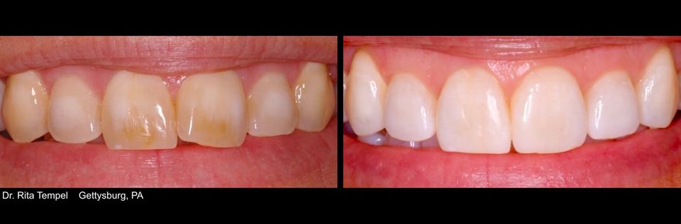
Brown/White Spot KöR® Cases by Real Dentists Throughout the USA & Around the World

013

012

011

010

09

08

07

06

04

05

03

02

015

01

Frequently Asked Questions Regarding Teeth Whitening

We understand you may have questions about teeth whitening. Below are some of the most common questions we receive. If you need additional information, our team is always happy to help.

How Do I Choose the Right Shade?

Selecting the right shade is an important part of the whitening process. At Elite Dental Group, our team works closely with you to choose a shade that complements your natural tooth color and overall appearance. The goal is to create a brighter smile that still looks natural, balanced, and healthy.

Is Teeth Whitening Safe?

Yes, professional teeth whitening is very safe. We use clinically tested products and techniques designed to protect both your teeth and gums. Whitening agents are formulated to minimize sensitivity while delivering effective results. Before treatment, your oral health is evaluated to ensure whitening is appropriate for you.

How Long Does Teeth Whitening Take?

In office whitening treatments typically take about one hour, making it a convenient option for patients with busy schedules. Many patients notice visible results after just one visit, though additional sessions may be recommended to achieve your desired level of brightness.

How Long Will the Results Last?

Results vary based on lifestyle and oral hygiene habits. With proper care, whitening results can last several months to a year. Avoiding stain causing foods and drinks, using a straw for darker beverages, and maintaining regular dental cleanings can help extend the longevity of your brighter smile.
Flexible financing prequal apply pay 375x320
Screenshot 2026 03 26 185526

Patient Reviews

"The staff at Dr Turner’s office, including Dr Turner, is amazing. They’re super friendly and super nice! Shout out to Holly and Mariah who can put a smile on your face no matter what kind of day you’re having! I highly recommend this office."
— Eleni Papadopoulos
"Very caring practice. Everyone from the front desk on are extremely friendly and attentive.I have some semi complicated issues and my new favorite dentist Dr. Dan is guiding me through them with lots of laughter along the way. Highly recommend."
— EPaul Mackiewicz
"Painless!!! I have anxiety from past experiences and they were so compassionate and kind. They offer options for sedation or nitrous, which definitely helps. The dentist was very gentle and caring. I didn’t feel a thing getting two fillings. This place is great and I highly recommend! Especially if fear is keeping you from going to the dentist. Give them a call, setup an appointment and see for yourself.
"
— Robert Nicolau
"The Dental practice is first rate. Everyone is welcoming, professional and thoroughly explain the treatment plans. Always make you feel comfortable."
— J P
"My son had a loose crown on an implant and the office was able to get him in the same day. They fixed the issue and we were on our way. Good experience for someone with anxiety.
"
— Linda Carmo
"I called this morning in excruciating pain. They saw me immediately and determined I needed a root canal. Had the first part done and scheduled to go back in 2 weeks. I cannot thank them enough for their care, professionalism and prompt action to help me thru this pain.
"
— Elizabeth Kramer
"Finding a great doctor is like shoe shopping, you have to keep looking until you find the best fit!!! And this office is exactly that!! From the ladies at the front desk, the hygienists, the assistants, all the way up to the providers themselves, its been a great experience. They even have early AM options for those of us who rather get in and get out ASAP. Def the best overall service I've had.
"
— Jeannie Nunes
"The best tooth extraction experience ever. Dr Dan and his assistant were amazing. In fact the whole staff is awesome. Dr Dan was caring, gentle, professional, and very considerate. I didn’t feel any pain. I highly recommend this practice to anyone who fears getting dental work.
"
— Sandra Silvia