Skip to content

Orthodontics

Elite Dental Group - 129 High St Taunton, MA 02780
Request Consultation Call (508) 822 9387
No matter your age, you deserve a confident, healthy smile. At Elite Dental Group, our multi specialty team offers advanced orthodontic solutions designed to help you achieve beautifully aligned teeth at any stage of life. Whether you choose discreet clear aligners or traditional braces, our experienced orthodontic team will guide you every step of the way toward the smile you have always wanted.
Braces are not just for children.
Orthodontic treatment can transform your smile at any age.


Beyond appearance, properly aligned teeth are stronger, healthier, and less prone to uneven wear. Correcting alignment now can help prevent future dental issues, discomfort, and more complex procedures later on.

Using modern orthodontic technology and a personalized approach, we create customized treatment plans tailored to your goals and lifestyle. If your child needs braces, you can feel confident knowing they will receive the same attentive, high quality care and precision.

Now is the perfect time to invest in your smile and long term oral health. Schedule your consultation today and take the first step toward a healthier, more confident you.

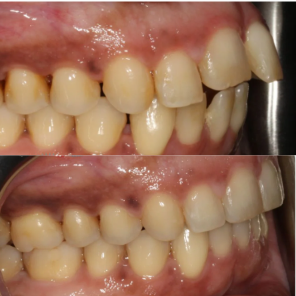
Before & after orthodontic treatment at Elite Dental Group

13
16
14
Choose from a range of advanced, minimally invasive treatment options designed for comfort, precision, and lasting results.
Elite Smiles
Elite aligners straightens your teeth using a series of clear, custom made aligner trays designed specifically for your smile. The aligners are changed every two weeks, gradually guiding your teeth into proper alignment with gentle, controlled pressure.
Learn More

Sure Smile

If you need braces but aren’t interested in traditional bracket-and-wire systems, we offer a clear alternative, SureSmile®! Using a series of clear aligners, we provide SureSmile to discreetly straighten crooked teeth.
Learn More

Dental Monitoring

Dental Monitoring uses an advanced ScanBox device that allows our team to track your progress between in office visits. Using the ScanBox and your smartphone, you will complete quick weekly scans of your teeth from the comfort of your home.
Learn More
Flexible financing prequal apply pay 375x320
Screenshot 2026 03 26 185526

Patient Reviews

"The staff at Dr Turner’s office, including Dr Turner, is amazing. They’re super friendly and super nice! Shout out to Holly and Mariah who can put a smile on your face no matter what kind of day you’re having! I highly recommend this office."
— Eleni Papadopoulos
"Very caring practice. Everyone from the front desk on are extremely friendly and attentive.I have some semi complicated issues and my new favorite dentist Dr. Dan is guiding me through them with lots of laughter along the way. Highly recommend."
— EPaul Mackiewicz
"Painless!!! I have anxiety from past experiences and they were so compassionate and kind. They offer options for sedation or nitrous, which definitely helps. The dentist was very gentle and caring. I didn’t feel a thing getting two fillings. This place is great and I highly recommend! Especially if fear is keeping you from going to the dentist. Give them a call, setup an appointment and see for yourself.
"
— Robert Nicolau
"The Dental practice is first rate. Everyone is welcoming, professional and thoroughly explain the treatment plans. Always make you feel comfortable."
— J P
"My son had a loose crown on an implant and the office was able to get him in the same day. They fixed the issue and we were on our way. Good experience for someone with anxiety.
"
— Linda Carmo
"I called this morning in excruciating pain. They saw me immediately and determined I needed a root canal. Had the first part done and scheduled to go back in 2 weeks. I cannot thank them enough for their care, professionalism and prompt action to help me thru this pain.
"
— Elizabeth Kramer
"Finding a great doctor is like shoe shopping, you have to keep looking until you find the best fit!!! And this office is exactly that!! From the ladies at the front desk, the hygienists, the assistants, all the way up to the providers themselves, its been a great experience. They even have early AM options for those of us who rather get in and get out ASAP. Def the best overall service I've had.
"
— Jeannie Nunes
"The best tooth extraction experience ever. Dr Dan and his assistant were amazing. In fact the whole staff is awesome. Dr Dan was caring, gentle, professional, and very considerate. I didn’t feel any pain. I highly recommend this practice to anyone who fears getting dental work.
"
— Sandra Silvia