Skip to content

Crown and Bridge Restoration

Elite Dental Group - 129 High St Taunton, MA 02780
Request Consultation Call (508) 822 9387

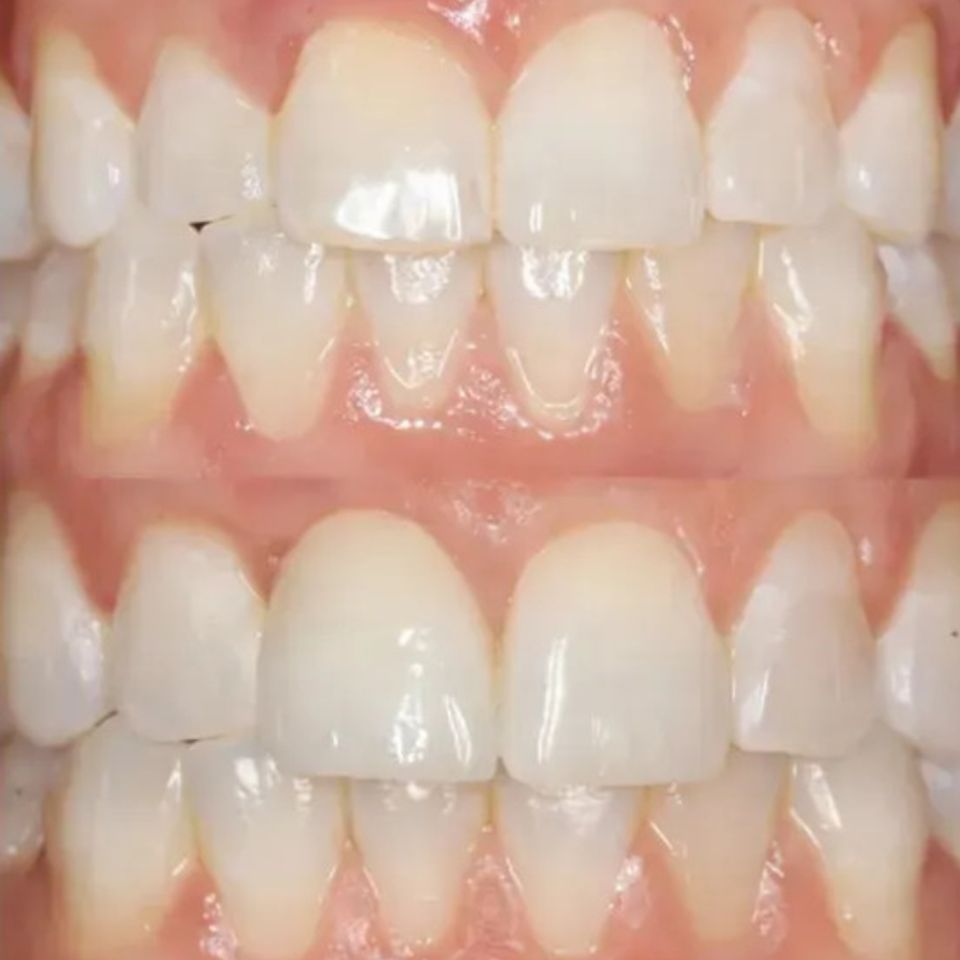
Smile Transformation Success Story

At our practice, we recently helped a patient restore their smile after experiencing a complex dental issue involving a periodontal infection and a root fracture. To fully restore both health and aesthetics, we recommended a comprehensive implant-based solution.

The treatment process included:
  • Extraction and Bone Grafting to properly prepare the site for implant placement
  • Implant Placement with Soft Tissue Grafting to ensure long-term stability and natural-looking gum contours
  • Provisional Implant-Supported Crown to maintain appearance and function during healing
  • Final Implant-Supported Crown, custom-designed for strength, beauty, and seamless integration
     
We are extremely proud of the final result, and most importantly, our patient is now enjoying a healthy, confident smile once again.
Crown and bridge restorations are often the ideal solution for patients with damaged, decayed, or missing teeth. Crowns are designed to restore a weakened tooth to its original shape, strength, and function, while bridges can replace one or more missing teeth to restore balance and stability to your smile.

Because they are securely cemented in place, crowns and bridges are considered fixed restorations. In many cases, a combination of crowns and dental implants can be used to replace missing teeth, reducing or eliminating the need for a traditional bridge while providing a strong, long lasting result.
About Crown and Bridge Restorations
If you have damaged, decayed, or missing teeth, our team offer crown and bridge restorations to help restore your smile and improve your overall oral health. Crowns allow us to rebuild a damaged tooth to its natural shape, strength, and function, while bridges replace one or more missing teeth, closing gaps and helping prevent future dental complications.

Because crowns and bridges are fixed restorations, our team permanently cement them in place to provide a secure, stable, and long-lasting result. This makes them a dependable solution for improving both the appearance and function of your smile. In certain cases, we may recommend combining crowns with dental implants to create an even stronger, more durable solution that can reduce or eliminate the need for a traditional bridge.

At Elite Dental Group, our team take a personalized approach to every patient we treat. Our team carefully evaluate your specific needs and design a customized treatment plan focused on comfort, durability, and results you can feel confident about.

____________________________________________________________


"While the entire team is outstanding, I especially want to recognize Dr. Satish Palayam. As a professional myself, I can easily identify those who are truly passionate about their work and operating at the highest level of excellence. Dr. Palayam is an exceptional clinician and a true professional. I highly recommend his practice to anyone seeking top-tier dental care."
In another case, we provided emergency treatment involving root canal therapy for the upper central incisors. After careful evaluation, we placed an immediate implant for the right lateral incisor and performed a crown lengthening procedure to ensure proper restorative support.

To maintain both function and esthetics during healing, we placed a provisional bridge. After a four-month healing period, we finalized the treatment by placing custom crowns on the central incisors and restoring the implant with its permanent crown.

The result was a stable, natural-looking restoration that preserved both structure and smile aesthetics.
We also treated a patient who presented with significant gum recession affecting the right central tooth. Due to the severity of the condition, extraction was necessary.

Our team carefully planned and executed the placement of an implant-supported crown, focusing on achieving optimal gum symmetry, natural contours, and long-term function.

The final outcome restored not only the patient’s smile but also their confidence.

Frequently Asked Questions Regarding Crowns and Bridges

Who Needs Crowns and Bridges?

Crowns are recommended when a tooth requires restoration that is too large for a traditional filling. If you are missing one or more teeth and are not a candidate for dental implants or prefer an alternative option, a tooth supported bridge may be an excellent solution. Our team will evaluate your specific needs and help determine the most appropriate treatment plan for your situation.

How Long Do Crowns and Bridges Last?

The longevity of crowns and bridges depends on several factors, including the health of the supporting tooth, oral hygiene habits, and overall dental condition. While trauma or decay can affect their lifespan, a well crafted crown or bridge can last 10 years or longer with proper care.

Can Crowns or Bridges Be Whitened?

Crowns and bridges cannot be whitened once their shade has been selected. While surface stains on porcelain may be polished, chemical whitening agents will not change their color. If you are interested in whitening your natural teeth, it is best to do so before selecting the shade for your restoration. At Elite Dental Group, we ensures that restorations are carefully color matched to blend seamlessly with your smile.
Flexible financing prequal apply pay 375x320
Screenshot 2026 03 26 185526

Patient Reviews

"The staff at Dr Turner’s office, including Dr Turner, is amazing. They’re super friendly and super nice! Shout out to Holly and Mariah who can put a smile on your face no matter what kind of day you’re having! I highly recommend this office."
— Eleni Papadopoulos
"Very caring practice. Everyone from the front desk on are extremely friendly and attentive.I have some semi complicated issues and my new favorite dentist Dr. Dan is guiding me through them with lots of laughter along the way. Highly recommend."
— EPaul Mackiewicz
"Painless!!! I have anxiety from past experiences and they were so compassionate and kind. They offer options for sedation or nitrous, which definitely helps. The dentist was very gentle and caring. I didn’t feel a thing getting two fillings. This place is great and I highly recommend! Especially if fear is keeping you from going to the dentist. Give them a call, setup an appointment and see for yourself.
"
— Robert Nicolau
"The Dental practice is first rate. Everyone is welcoming, professional and thoroughly explain the treatment plans. Always make you feel comfortable."
— J P
"My son had a loose crown on an implant and the office was able to get him in the same day. They fixed the issue and we were on our way. Good experience for someone with anxiety.
"
— Linda Carmo
"I called this morning in excruciating pain. They saw me immediately and determined I needed a root canal. Had the first part done and scheduled to go back in 2 weeks. I cannot thank them enough for their care, professionalism and prompt action to help me thru this pain.
"
— Elizabeth Kramer
"Finding a great doctor is like shoe shopping, you have to keep looking until you find the best fit!!! And this office is exactly that!! From the ladies at the front desk, the hygienists, the assistants, all the way up to the providers themselves, its been a great experience. They even have early AM options for those of us who rather get in and get out ASAP. Def the best overall service I've had.
"
— Jeannie Nunes
"The best tooth extraction experience ever. Dr Dan and his assistant were amazing. In fact the whole staff is awesome. Dr Dan was caring, gentle, professional, and very considerate. I didn’t feel any pain. I highly recommend this practice to anyone who fears getting dental work.
"
— Sandra Silvia