Skip to content

Smile Simulation Studio

Elite Dental Group - 129 High St Taunton, MA 02780
Request Consultation Call (508) 822-9387
Multiple

Virtually Experience Your Complete Smile in 3D

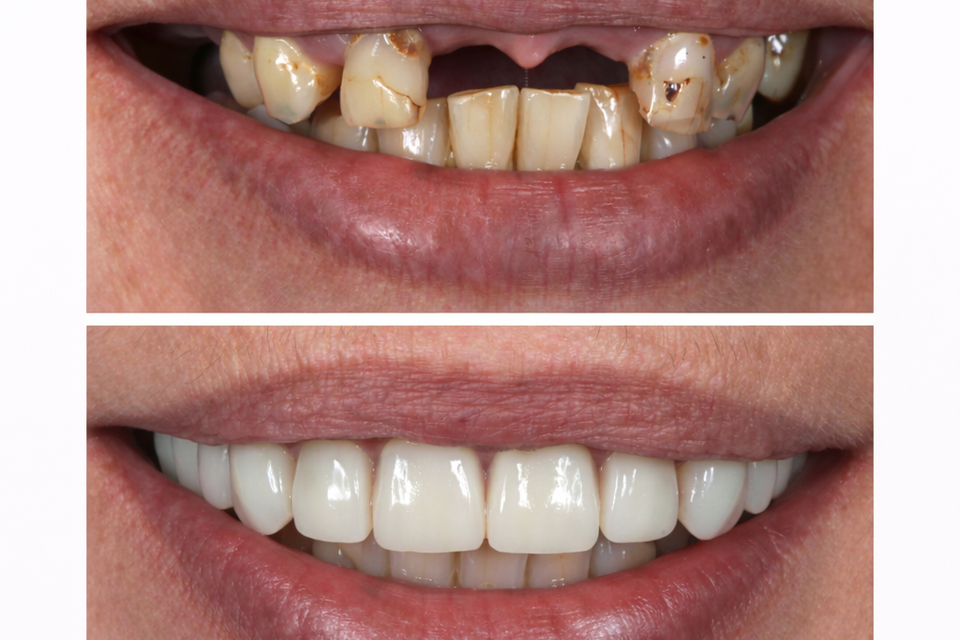
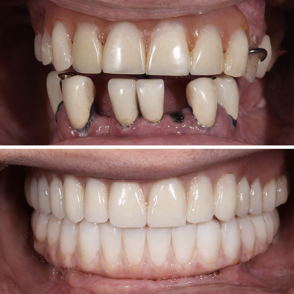
Before committing to a treatment as advanced as full-mouth dental implants, it helps to clearly see what your results can look like. Because every smile is unique, Elite Dental Group Team designs fully customized smiles that restore function while enhancing your natural facial features.
Our completely digital workflow allows us to create one-of-a-kind smiles that are precision crafted and tailored specifically to you. From form and fit to aesthetics and comfort, every detail is carefully planned before treatment even begins.
Patients receive a personalized digital smile preview, giving them confidence and clarity throughout their smile transformation journey. Contact us today to schedule your digital smile preview at Elite Dental Group, 129 High St, Taunton, MA 02780.

Preview the New You

Dental implants
Our smile design process is completely digital, from your initial impressions to your virtual smile reveal. During your consultation, we capture high-resolution photos, 3D facial scans, digital impressions, and a CBCT scan to gather precise details unique to you.

We also encourage you to share photos from the past or images of smiles you admire that reflect your personal goals. Using this information, our advanced software and technology create a detailed three-dimensional virtual model of your face.

Before you leave, you’ll see a virtual preview of yourself with your new smile. Your feedback is an important part of the process, allowing us to refine every detail and ensure your future smile feels just right. From there, we begin the customized treatment planning that brings your new smile to life.

The Advantage of a Smile Preview

Our smile preview process does more than provide you with a 3D simulation of your new look. It’s also the kick-off point for your fully digital treatment. We collect all the data, scanning, and digital impressions necessary for your treatment at this visit. These digital renderings become the foundation for the planning and surgical phases to come. Our enhanced treatment protocols are truly second to none in the region. Don’t wait to try on your new smile, the outcomes are transformational!
 

Our Smile Simulation Process

  • High-resolution photos

  • 3D facial scans
  • Digital Impressions
  • CBCT Scan
  • Review photos from past or smile goals
  • Advanced software creates virtual clone of your face in three-dimension
  • Provide feedback and input throughout visit
  • Receive virtual representation of yourself with new smile