Skip to content

Cosmetic Dentistry

Elite Dental Group - 129 High St Taunton, MA 02780
Request Consultation Call (508) 822 9387
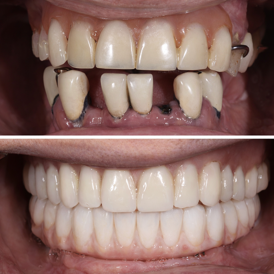
Has your smile lost its brilliance over the years? If imperfections are holding you back, now is the time to invest in a transformation that radiates confidence and beauty. At the forefront of modern cosmetic dentistry, veneers offer an elegant solution for addressing a wide range of concerns while restoring both strength and natural esthetics to your smile.
Stop concealing your smile and reveal a confident, radiant version of yourself.
Whether you are dealing with deep stains, chips, uneven teeth, gaps, or minor misalignment, veneers offer a refined and personalized solution to rejuvenate your smile. For patients with more complex concerns, such as exposed roots or outdated dental work, veneers can deliver sophisticated, long lasting results that blend naturally with your existing teeth.

At Elite Dental Group, cosmetic dentistry blends precision with artistry to create beautifully natural results. With a strong focus on personalized care, every treatment plan is designed not only to enhance the appearance of your smile but also to protect its long-term health and structural integrity.

Whether addressing years of wear or refining previous dental work, every detail is carefully evaluated and thoughtfully executed to deliver results you can feel truly confident about.

____________________________________________________________


"My daughter was treated by Elite Dental Group after she fractured three teeth in an accident. The team was incredibly meticulous and attentive, making sure she felt completely comfortable and that her restored teeth looked just like her natural ones. We couldn’t be happier with the outcome."

Choose From a Variety of Minimally Invasive Solutions

At Elite Dental Group, we offer a range of modern, minimally invasive cosmetic and restorative treatments designed to enhance your smile while preserving your natural tooth structure. Each option is tailored to your unique goals and oral health needs under the care of the team.
Veeners

Veneers

Veneers are an ideal solution for covering imperfections while also strengthening your teeth. They can effectively improve the appearance of stained, chipped, uneven, or slightly misaligned teeth, creating a refined, natural looking smile.
Learn More
Siteswan   elite dental grp (7)

Teeth Whitening

Teeth whitening is one of the easiest and most convenient ways to brighten your smile. This treatment removes stains caused by coffee, tea, red wine, smoking, and everyday wear, helping restore a fresh, youthful appearance.
Learn More
Dental implants

Dental Implants

If you are missing one or more teeth, dental implants offer a premier solution for restoring both function and appearance. Designed to look and feel like natural teeth, implants provide strong, long lasting results you can rely on.
Learn More
Crown lengthening

Crown Lengthening

Crown lengthening enhances the appearance of the gum line and may also be recommended to properly prepare a tooth for restorative treatments such as a crown or bridge. This procedure improves balance, esthetics, and long term treatment success.
Learn More
Flexible financing prequal apply pay 375x320
Screenshot 2026 03 26 185526

Patient Reviews

"The staff at Dr Turner’s office, including Dr Turner, is amazing. They’re super friendly and super nice! Shout out to Holly and Mariah who can put a smile on your face no matter what kind of day you’re having! I highly recommend this office."
— Eleni Papadopoulos
"Very caring practice. Everyone from the front desk on are extremely friendly and attentive.I have some semi complicated issues and my new favorite dentist Dr. Dan is guiding me through them with lots of laughter along the way. Highly recommend."
— EPaul Mackiewicz
"Painless!!! I have anxiety from past experiences and they were so compassionate and kind. They offer options for sedation or nitrous, which definitely helps. The dentist was very gentle and caring. I didn’t feel a thing getting two fillings. This place is great and I highly recommend! Especially if fear is keeping you from going to the dentist. Give them a call, setup an appointment and see for yourself.
"
— Robert Nicolau
"The Dental practice is first rate. Everyone is welcoming, professional and thoroughly explain the treatment plans. Always make you feel comfortable."
— J P
"My son had a loose crown on an implant and the office was able to get him in the same day. They fixed the issue and we were on our way. Good experience for someone with anxiety.
"
— Linda Carmo
"I called this morning in excruciating pain. They saw me immediately and determined I needed a root canal. Had the first part done and scheduled to go back in 2 weeks. I cannot thank them enough for their care, professionalism and prompt action to help me thru this pain.
"
— Elizabeth Kramer
"Finding a great doctor is like shoe shopping, you have to keep looking until you find the best fit!!! And this office is exactly that!! From the ladies at the front desk, the hygienists, the assistants, all the way up to the providers themselves, its been a great experience. They even have early AM options for those of us who rather get in and get out ASAP. Def the best overall service I've had.
"
— Jeannie Nunes
"The best tooth extraction experience ever. Dr Dan and his assistant were amazing. In fact the whole staff is awesome. Dr Dan was caring, gentle, professional, and very considerate. I didn’t feel any pain. I highly recommend this practice to anyone who fears getting dental work.
"
— Sandra Silvia